Ela diz que grita por socorro e precisa de toda e qualquer ajuda
Aos 35 anos, Idalina Maira Luz da Fonseca fica cada dia mais perto de ter os pés amputados, em razão da síndrome de Charcot, que causa fraturas múltiplas nos pés. Ela é de Campo Grande e pediu à Justiça para que o SUS faça o procedimento, mas teve o pedido negado.
Ida entrou em contato com o TopMídiaNews e se diz desesperada com o que classifica como descaso do poder público, incluindo a Justiça.
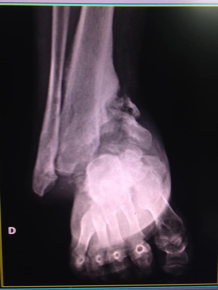
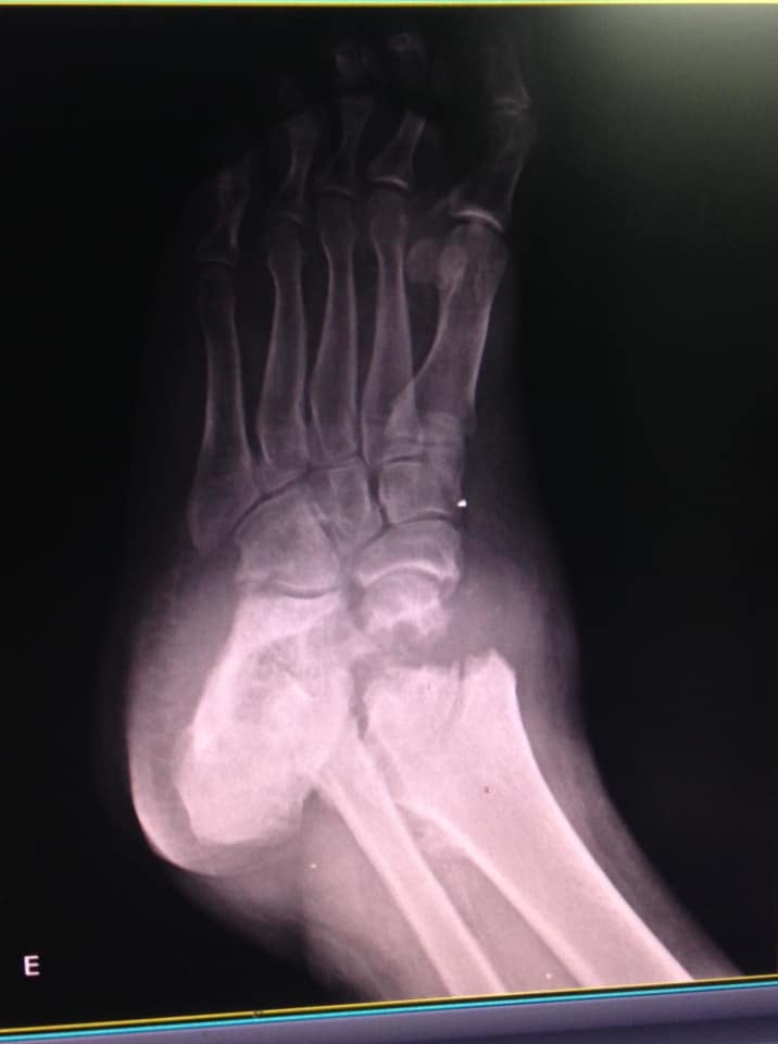
‘’Eu com 35 anos de idade tenho que aceitar ficar sem andar porque o país em que vivo não cobre a cirurgia? Aceito que não vou mais andar?’’, questionou a paciente. Ela apresentou várias radiografias e diz que os pés ‘’desabaram’’ por conta da doença rara.

‘’…não precisa ser médico, tão pouco especialista para ver as fraturas, elas são enormes e gravíssimas e se vê a olho nu’’, lamentou mais uma vez.
O pedido à Justiça foi feito por meio da Defensoria Pública da União, mas um juiz federal negou obrigar o SUS a bancar a cirurgia, que na saúde privada custa em torno de R$ 160 mil, segundo Ida.
Ida lamenta o fato de ter problemas gravíssimos por causa da diabetes e ainda tem de conviver com sessões de hemodiálise. Na tarde desta terça-feira (17), Idalina estava prestes a ser internada na Santa Casa de Campo Grande por conta da complicação da doença.
A paciente pediu que a sociedade faça pressão questionando a decisão judicial contra ela, mas também pede todo e qualquer tipo de ajuda. Ela destacou que a cirurgia particular é para colocação de placas de titânio.

‘’Marquem os políticos, os candidatos, a imprensa, me ajudem nessa batalha tão cruel, gritem comigo para que eu tenha direito a essa cirurgia e ficar com os meus pés’’, suplicou Fonseca.
Para ver o vídeo clique aqui
O telefone para informações de Idalina é: (67) 9 9135-0012.
Credito: Topmidianews
>
Seja o primeiro a comentar